審美セラミック

JR平井駅より
徒歩5分

診療時間
09:30 ~ 13:30//
15:00 ~ 18:30//
  • ※土曜日 午後診察のみ14時30分~17時30分
24時間WEB予約

03-3636-8687

キービジュアル

機能性審美性を両立させ
10年先も美しい歯を目指します

  • 短期間で歯を白くする「ダイレクトボンディング法」
  • 歯を削らない「ノンプレップベニア」
  • 笑うと歯茎が目立つ「ガミースマイル」にも対応

院長による無料相談

院長」による無料相談を実施中。
まずはお気軽にご相談ください。

  • 来院して相談
  • 治療前
  • 治療後
  • 治療前
  • 治療後
  • 治療前
  • 治療後
  • 治療前
  • 治療後
  • 治療前
  • 治療後
  • 治療前
  • 治療後
  • 治療前
  • 治療後
  • 治療前
  • 治療後
  • 治療前
  • 治療後

注目!「1日」で白い歯が手に入ります

「セラミック治療は費用も時間もかかりそうで心配…」
そのように感じている患者さんにぜひご提案したいのが、「ダイレクトボンディング法」と呼ばれる治療法です。この方法では、最短で「1日」という短期間で、自然な白い歯リーズナブルな価格で手に入れることが可能です。
具体的には、歯を削る量を可能な限り抑えつつ、レジンと呼ばれる樹脂製の詰め物を使用して治療を行います。ただし、適応できないケースもあるため、以下のようなお悩みをお持ちの方は、ぜひ一度お気軽にご相談ください。
  • 銀歯を自然な白い歯に変えたい方
  • 歯の隙間(すきっ歯)を目立たなくしたい方
  • 欠けた歯を元の形に修復したい方
  • 歯の白い斑点(ホワイトスポット)が気になる方

理想の「美しい歯」を目指してみませんか?

一言で「美しい歯」と言っても、その理想像は患者さんごとに異なります。例えば、自然な見た目で天然歯のような仕上がりを求める方もいれば、芸能人のように輝く白い歯を目指す方もいらっしゃいます。

また、歯の色や形に細かくこだわりたい方や、銀歯を白くして目立たなくしたいと考える方など、それぞれのご希望に応じた多様な美の追求があることでしょう。
これらのご要望は、審美セラミック治療で全てお応えすることが可能です。審美セラミック治療は、ホワイトニングのように単に歯を白くするだけではありません。患者さんの理想に合わせて、歯の色調や形状、さらには歯並びまでも美しく整えることができます。当院では、この理想を実現するために「3つの取り組み」を行っております。それぞれについて詳しくご紹介いたします。

取り組み①: 誰もが納得する「美しい歯」をデザイン

歯を美しくするためには、2つの「美」の基準を考慮することが重要です。一つ目は、患者さんご自身が思い描く理想の美しさである「主観的な美」です。これは個々の価値観や希望に基づき、患者さんが満足できる美しさを追求するものです。もう一つは、他者が見たときに美しいと感じられる「客観的な美」です。

「主観的な美」の達成 ~患者さんとの対話~

患者さんが求める美を理解するためには、患者さんの想いを共有することが欠かせません。当院では、各工程で患者さんと丁寧にイメージをすり合わせながら、理想に近づける努力を重ねています。

「入念な」カウンセリング

具体的に目指しているイメージや、今回の治療で実現したいご希望について詳しくお伺いします。もし雑誌の切り抜きや画像など、明確な理想像がある場合は、ぜひお持ちいただければと思います。また、当院では模型やこれまでの症例写真などを活用しながら、丁寧にイメージをすり合わせていくことも可能です。

「ワックスアップ模型」の活用

ワックスアップとは、治療後の歯の形や噛み合わせをロウ(ワックス)で再現した模型のことです。この模型を使用することで、治療前に仕上がりのイメージを具体的に確認できるため、患者さんと歯科医師の間で治療後のイメージにズレがないかをしっかりと共有できます。

「仮歯」による最終確認

ワックスアップ模型を用いたイメージのすり合わせを行った後、仮歯を製作し口腔内に装着します。この仮歯は、治療後の仕上がりを具体的に体感できるものであり、歯の色合いや形態など、患者さんが納得いくまで細かく調整を重ねます。

「客観的な美」の追求 ~理論に裏付けられた治療~

客観的な「美」を生み出すのは、私たち歯科医療の専門家の役割です。歯には、誰が見ても美しいと感じる形やバランスが存在し、それは黄金比や白銀比といった数学的な法則に基づいています。これらの美の基準を取り入れながら、患者さん一人ひとりのお口の状態や顔全体との調和を考慮して、最適なデザインを計算しています。

Point1 唇と歯の関係(Lip to Tooth Relationship)

笑った時に、下唇のアーチと歯並びのアーチを一致させると、口元の美しさが際立ちます。

著書:山崎長郎 クインテッセンス出版:エステティック クラシフィケーションズより引用

Point2 ゴールデンプロポーション(Golden Propotion)

前歯の美しさを決定する重要な要素の一つに「比率」があります。この比率は「中切歯(1.618)」、「側切歯(1)」、「犬歯(0.618)」という黄金比に基づいています。この黄金比は、人が自然に美しいと感じるバランスであり、歯の横幅をこの比率に整えることで、誰が見ても調和の取れた美しい前歯を実現することが可能です。

Point3 正中線と歯並びのバランス(Median line)

顔の中心を通るラインを「正中線」と呼びます。この正中線に上の前歯(中切歯)の真ん中が揃うように整えることで、歯並びが左右対称になり、全体的にバランスの良い美しい印象を与えることができます。

Point4 生物的幅径(Biological width diameter)

口元を美しく見せるためには、歯だけでなく「歯肉」の健康と美しさも重要な要素です。当院では、歯肉の健康を守るために「生物学的幅径」を尊重しながら治療を行っています。

取り組み②: 美しさを「長く」維持するための徹底ケア

当院では、単に歯を美しく見せるだけの治療にとどまらず、その美しさを長く維持していただけるよう配慮した治療を提供しています。「美の長期安定」を実現することを最も重要な目標として掲げ、患者さん一人ひとりに合わせた綿密な計画を立てながら治療を進めています。ここでは、当院が取り組む具体的な方法や工夫についてご紹介いたします。

「初期治療」の徹底

セラミック治療は「歯」を土台としてセラミックの被せ物を装着するため、土台となる歯が健康でなければ、その美しさを長く保つことは難しくなります。当院ではまず虫歯や歯周病などの基礎的な治療を優先し、口腔環境を整えた上でセラミック治療を進めています。

「マイクロスコープ」の活用

被せ物は人工物であるため、天然歯との間に微細な隙間が生じやすく、この隙間から虫歯菌が侵入すると、知らないうちに虫歯が進行してしまうことがあります。この問題を防ぐため、当院では「マイクロスコープ」を活用した精密治療を行っています。

歯科技工士との連携

被せ物の製作は、歯科技工士という専門職が担っています。そのため、被せ物のクオリティは歯科技工士の技術力に大きく左右されます。
当院では、高品質な被せ物を提供するために、間中道郎氏が代表を務める「Dent Craft Studio Mʼs Art」と連携し、精密で耐久性の高い補綴物の製作を実現しています。

間中 道郎

経歴
2006年 日本大学附属歯科技工専門学校 卒業
2006年 DENT CRAFT Studio 入社
2015年 Dent Craft studio Mʼs Art 設立
2018年 Dent Craft studio Mʼs Art 移転
<その他>
QDT Master Pice 掲載
Qz in German 掲載
IPS e.max SMILE AWARD 2016 in Madrid
ASIA PACIFIC 最優秀賞 受賞

注目!光学スキャナー

従来は粘土のような印象材を使用して歯型を取る方法が一般的でしたが、当院では最新の「光学スキャナー」を導入しています。このスキャナーはお口の中を軽くスキャンするだけで、歯や粘膜の状態を正確に記録できる革新的な技術です。これにより、従来法と比較して以下のようなメリットが得られます。
  • 型取り時の不快感が解消:粘土状の印象材を使用する必要がなくなるため、苦しい型取りが不要になります。
  • 精密なデータ取得:光学スキャナーは高精度な3Dデータを取得できるため、より正確な診断と治療計画が可能になります。
  • 治療精度の向上:データの変形や誤差が少ないため、補綴物や矯正装置の適合精度が向上し、効果的な治療を実現します。

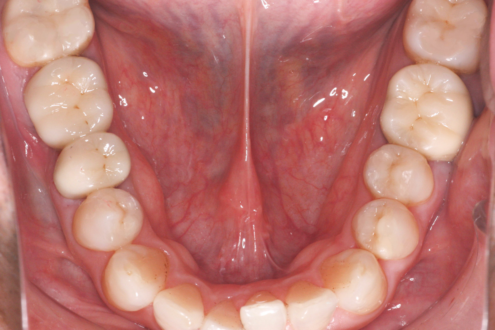
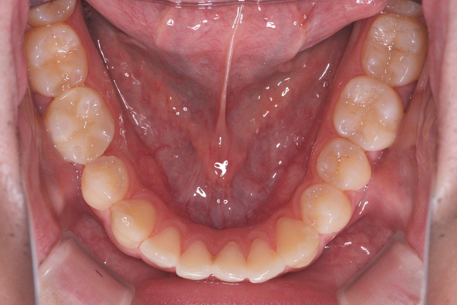
取り組み③:歯を削らない「ノンプレップベニア」

ノンプレップベニア」は、歯を削らずにセラミックを貼り付ける治療法です。通常、セラミックを装着する際には歯を削る必要がありますが、ノンプレップベニアではその工程を省くことができるため、患者さんにとって負担の少ない治療法と言えます。この方法は、歯の健康を守りながら審美性を向上させたい方に最適です。
一方で、「ラミネートベニア」という似た治療法もあります。この方法では、薄く歯を削る必要があり、ノンプレップベニアと比較すると若干の侵襲があります。しかし、歯の状態や仕上がりの希望によってはラミネートベニアが適している場合もあります。
歯を削ることでダメージが蓄積する可能性があるため、身体への負担を最小限に抑えつつ、美しい仕上がりを目指したい方には、ノンプレップベニアをおすすめしています。
  • 治療前
  • 治療後

歯茎の露出を改善するガミースマイル治療

笑った際に歯茎が大きく露出する症状は、歯科用語で「ガミースマイル」と呼ばれます。この症状に悩む患者さんの中には、人前で笑顔を見せることに抵抗を感じたり、無意識に口元を隠してしまう方も少なくありません。しかし、この症状は適切な治療によって改善が可能です。当院では、患者さん一人ひとりの原因や状態に合わせたガミースマイル治療を提供しております。ぜひお気軽にご相談ください。

金属アレルギーにも対応

金属アレルギーは、ネックレスや指輪などの金属製品によるかゆみや湿疹がよく知られていますが、実は歯科治療で使われる銀歯もアレルギーの原因になることがあります。銀歯に含まれる金属成分が唾液で溶け出し、体内でたんぱく質と結びつくことでアレルギーを引き起こす物質(アレルゲン)になるのです。
この金属アレルギーは、口内炎が頻繁にできたり治りにくい場合に疑うことがあります。さらに、症状は口の中だけでなく、全身に広がることもあり、アトピー性皮膚炎や掌蹠膿疱症(手のひらや足の裏に水ぶくれができる病気)などを引き起こすこともあります。そのため、銀歯によるアレルギーを放置することはおすすめできません。
もし金属アレルギーの可能性がある場合は、皮膚科で検査を受けて原因となる金属を特定し、それを含む銀歯をセラミックやジルコニアといった金属を使わない素材に交換する治療がおすすめです。銀歯によるアレルギー症状が気になる方や心当たりがある方は、ぜひ一度ご相談ください。

当院のメタルフリー症例

  • 治療前
  • 治療後
  • 治療前
  • 治療後
  • 治療前
  • 治療後

コラム東京歯科大学 クラウンブリッジ補綴学講座
「佐藤享主任教授」より
推薦をいただきました

院長の市之川和広先生と古乃美先生のお二人は東京歯科大学卒業後、私共のクラウンブリッジ補綴学講座で約4年間、被せ物(クラウン・ブリッジ)と義歯と審美治療について、また、歯科矯正、インプラント治療も積極的に研鑽を積んできました。

KI歯科・矯正歯科 平井は、より質の高い審美歯科治療やインプラント治療にも対応できる、高度な技術力やその治療設備環境を整えております。

また、予防治療にも力を入れており、お子様からご高齢の方まで安心して通っていただける歯科医院であると推薦いたします。

佐藤 享

佐藤 享
資格・所属学会・団体
  • 東京歯科大学 クラウンブリッジ補綴学講座 主任教授
  • 一般社団法人日本歯科審美学会 元会長,認定医
  • 公益社団法人日本補綴歯科学会 指導医・専門医
  • 日本接着歯学会 認定医

初診「個別」相談へのご案内

当院では、患者さんが抱えていらっしゃるお口のお悩みや疑問・不安などにお応えする機会を設けております。どんなことでも構いませんので、私たちにお話ししていただけたらと思います。
ご興味がある方は下記からお問い合わせください。

24時間WEB予約
  • 東京都江戸川区平井4丁目5-5
    スズオビル 1階
  • JR平井駅から徒歩5分